七旬老人拥有特殊“翘臀” 医生:这不是性感,是病!
大河网讯 结实、圆润而富有弹性的翘臀,人人梦寐以求,年近70岁的李老汉,有让众多女性都羡慕不已的翘臀,但在医生眼里,这不是性感,而是病。
原来早在一年前,李老汉这个“翘臀”周围就出现了局部疼痛,之后持续发作、逐渐加重,后来疼得李老汉坐不敢坐,连睡觉也不敢平卧,最近半月大小便都困难。到医院一检查,竟然被诊断为骶骨占位。
李老汉和家人找到河南省肿瘤医院骨与软组织科副主任医师王家强,经过影像学检查,考虑为骶骨肿瘤,经穿刺活检病理证实为脊索瘤。
![]()
因为病灶巨大,达12厘米×9厘米,不仅破坏了骶骨骨质,还侵犯了双侧臀大肌,解剖位置较深,周围结构复杂,瘤体血运丰富,手术暴露困难,给切除带来了很大挑战。
放化疗不敏感 手术切除是首选
完善检查后,经过多学科会诊认为:脊索瘤对放化疗都不敏感,手术切除是首选治疗方案。
经过充分的术前准备,李老先生被送上手术台,在C型臂透视机的定位下,医生们很快定位了骶骨和瘤子的位置。
![]()
△上图可见左右侧臀大肌均受肿瘤侵犯、范围很大
保护神经、修复巨大创面是难点
由于瘤子侵犯范围广,周围神经丰富,骶神经、坐骨神经、会阴神经……手术中稍有不慎造成神经损伤,就可能使患者大小便失禁、下肢功能障碍、性功能障碍。
如何保证肌肉功能、神经功能不受影响,同时,尽可能彻底地切除肿瘤,降低复发几率是手术的关键!
由于肿瘤大,手术创伤面也很大,王家强巧妙利用残存的臀大肌组成皮瓣进行创面修复。
![]()
经过4个小时的精细手术操作,术后护理确定皮瓣成活,大小便及双下肢功能正常。10天后,李老先生顺利康复出院。
“该退化的没退化 就逐渐成了瘤子”
脊索瘤是啥?
人类的脊柱是由胚胎时期的脊索变化而成的,正常来讲,当胎儿生长至3个月的时候,脊索开始退化和消失,仅在椎间盘内残留,即所谓的髓核。但如果出生后,脊索没有彻底退化消失,就有可能逐渐演变成肿瘤!
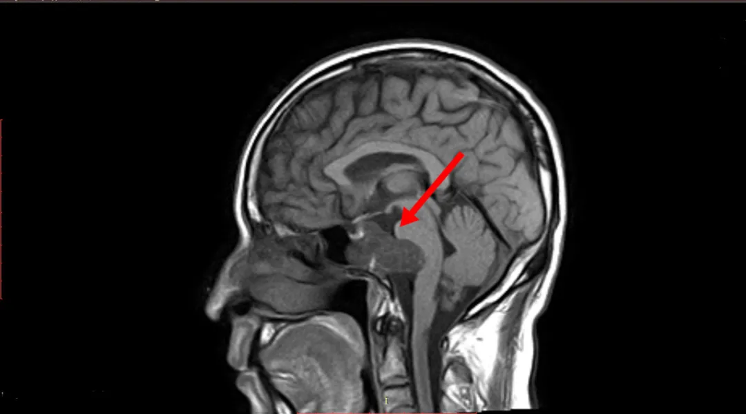
脊索瘤多发于头部的颅底蝶枕部、屁股的骶尾部,好发于50~60岁左右的中老年人。它生长缓慢,很少发生远处的转移,但它的局部破坏性比较强。
比如下图
![]()
颅底脊索瘤位置深,容易侵犯颅脑及重要神经血管,骶骨脊索瘤如果浸润性生长,会破坏骶骨骨质。
脊索瘤手术后极易复发,因而一旦确诊脊索瘤,即应按照恶性肿瘤对待。
头疼屁股痛别忍,尽早就诊
河南省肿瘤医院骨与软组织MDT专家组成员医学影像科主治医师邵楠楠介绍,脊索瘤的临床症状主要以疼痛为主,如果长在头部,头痛就是最常见的症状。约70%的病人有头痛,有时在就医前即已头痛数年,常为全头痛,也可向后枕部或颈部扩展。脊索瘤的诊断主要依靠X线、CT、磁共振等影像学检查,确诊需要病理。(庞红卫 王晓凡)
编辑:王晓颖 审核 :阎乃川







